9730+ отзывов
7 клиник в Москве
Рядом с метро
+7 (495) 324-44-47
Ежедневно с 8 до 23

Восстановление верхней челюсти на 8 имплантах — метод All-on-8

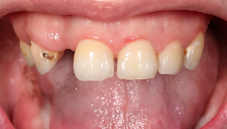
Проблема

Пациент обратился с жалобами на подвижность зубов и невозможность полноценного жевания. На верхней челюсти отсутствовали жевательные зубы и боковой резец. Наблюдались глубокие пародонтальные карманы, в области сохранившихся зубов — значительная убыль кости.

Диагноз: хронический пародонтит, частичная адентия верхней челюсти.

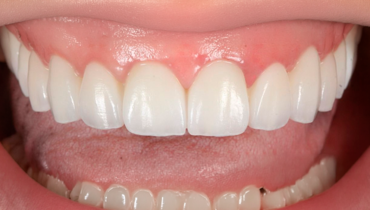
Решение

Из-за серьёзной атрофии кости было принято решение об удалении несостоятельных зубов и имплантации по методике All-on-8. Установка восьми имплантов обеспечила полную стабильность и равномерное распределение нагрузки по всей верхней челюсти. После приживления имплантов изготовлен цельноциркониевый протез без искусственной десны. Благодаря этому конструкция выглядит максимально естественно.

Другие работы

Цены
Контакты
Смотреть все акции 17