9730+ отзывов
7 клиник в Москве
Рядом с метро
+7 (495) 324-44-47
Ежедневно с 8 до 23

Исправление формы зубов керамическими винирами и коронками

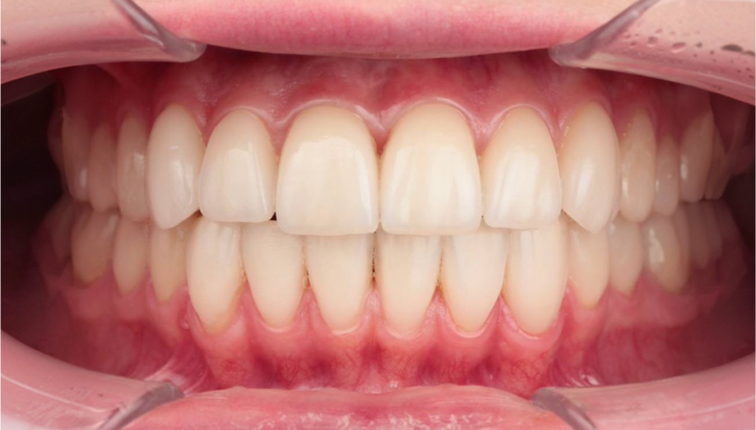
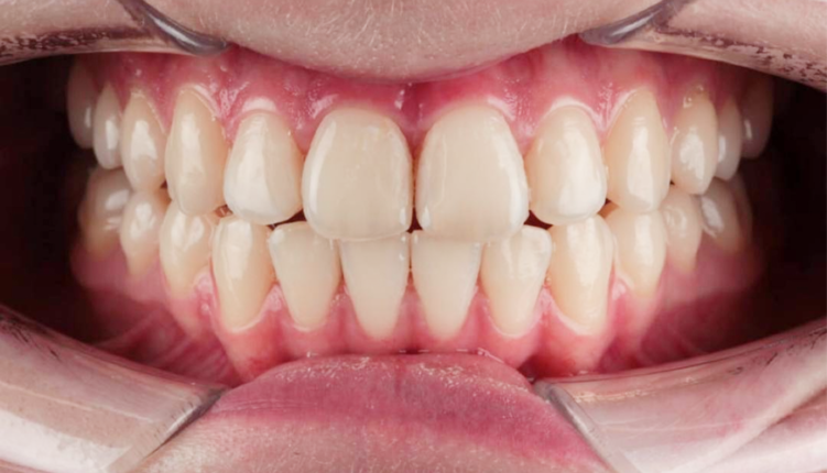
Проблема

Девушку не устраивала природная форма зубов: беспокоили широкие промежутки. Также пациентка отмечала щели между верхними и нижними зубами, которые выделялись при смыкании челюстей.

Диагноз: врождённое изменение формы зубов.

Решение

Чтобы улыбка смотрелась гармонично, предложено тотальное протезирование коронками и винирами. Предварительно было выполнено восковое моделирование Wax-up для согласования желаемой формы с пациенткой. После примерки будущей улыбки (Mock-up) приступили к обработке зубов. Верхние и нижние зубы были обточены до вторых премоляров (пятые зубы), сняты цифровые слепки, установлены временные накладки. Через несколько дней зафиксированы керамические виниры и коронки.

Другие работы

Цены
Контакты
Смотреть все акции 17