9730+ отзывов
7 клиник в Москве
Рядом с метро
+7 (495) 324-44-47
Ежедневно с 8 до 23

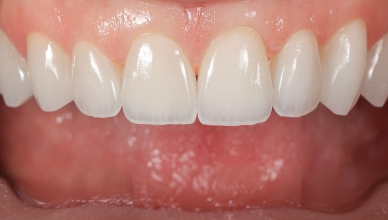
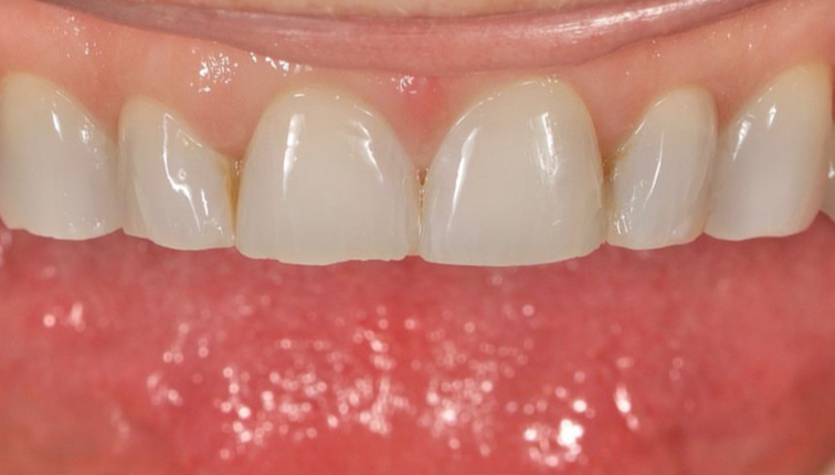
Протезирование зубов верхней челюсти у пациента с бруксизмом

Проблема

В клинику обратился пациент с жалобами на постепенное разрушение зубов. Мужчина страдал бруксизмом — непроизвольным сжатием челюстей, из-за чего эмаль начала стираться. Постоянная нагрузка привела к потере высоты прикуса, периодически беспокоил дискомфорт в суставе. На шестых зубах верхней челюсти были несостоятельные коронки. 

Диагноз: патологическая стираемость, бруксизм.

Решение

Проведено полное протезирование верхнего зубного ряда. Чтобы восстановить правильную высоту зубов и окклюзионные контакты, все конструкции были спланированы по методике Wax-up. Коронки изготовлены с учётом положения сустава и данных диагностики на артикуляторе. На передние зубы установили керамические коронки для достижения естественной эстетики. В жевательном отделе использовали диоксид циркония — прочный материал, устойчивый к повышенным нагрузкам. Старые коронки на шестых зубах также были заменены. Новые конструкции надёжно защищают зубы от стирания даже при наличии бруксизма.

Другие работы

Цены
Контакты
Смотреть все акции 17