9730+ отзывов
7 клиник в Москве
Рядом с метро
+7 (495) 324-44-47
Ежедневно с 8 до 23

Работа над зоной улыбки: реставрация зубов коронками E-max

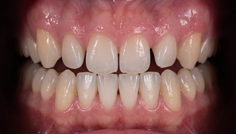
Проблема

К нам обратилась пациентка с жалобами на эстетику улыбки: её не устраивала форма и щели между зубами. Неправильный размер зубов мешал девушке свободно улыбаться и вызывал психологический дискомфорт.

Диагноз: нарушение формы зубов, диастема и тремы.

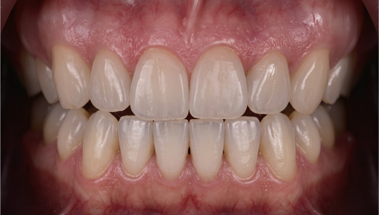
Решение

Для создания гармоничной улыбки было выбрано протезирование безметалловыми конструкциями. Верхние зубы от клыка до клыка минимально обточены, выполнено 3D-сканирование. По готовности установлены высокоэстетичные коронки E-max на шесть зубов в зоне улыбки. Выбор такого материала позволил добиться максимальной естественности, так как керамика E-max имитирует свойства натуральной эмали. В ходе работы удалось закрыть все щели и скорректировать форму зубов, сделав улыбку ровной и симметричной.

Оказанные услуги

Другие работы

Цены
Контакты
Смотреть все акции 17