9730+ отзывов
7 клиник в Москве
Рядом с метро
+7 (495) 324-44-47
Ежедневно с 8 до 23

Реконструкция улыбки керамическими коронками при патологической стираемости

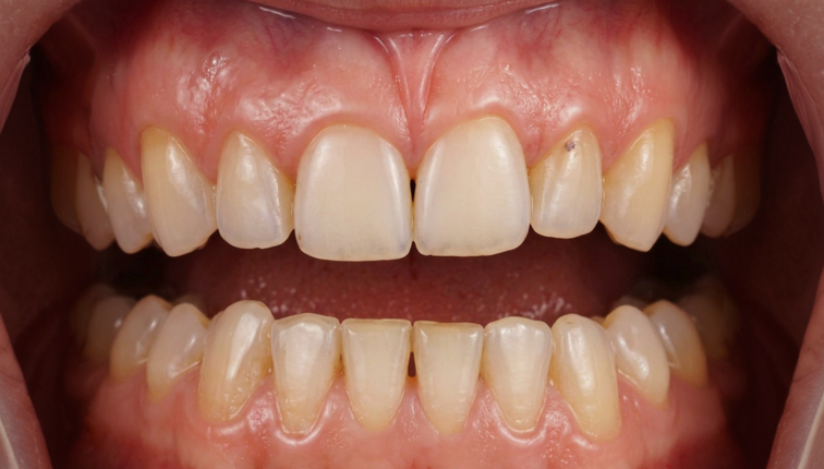
Проблема

Пациент обратился с жалобами на эстетику зубов. На верхних передних резцах были старые пломбы, которые портили внешний вид. Часть зубов начала стираться, что сказывалось на улыбке и в дальнейшем могло спровоцировать проблемы с суставом, изменить пропорции лица.

Диагноз: патологическая стираемость зубов.

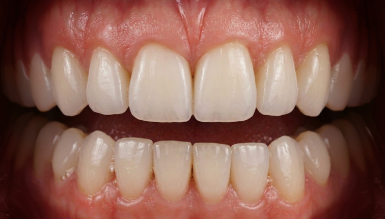
Решение

В данном случае важно было не просто вернуть эстетику, но и восстановить высоту прикуса. Проведено тотальное протезирование: все зубы верхней и нижней челюсти были покрыты керамическими коронками. Использование цельной керамики позволило создать прочные конструкции, устойчивые к повышенным нагрузкам. В результате восстановлена эстетика и правильная высота прикуса, зубы защищены от дальнейшего стирания.

Оказанные услуги

Другие работы

Цены
Контакты
Смотреть все акции 17