9730+ отзывов
7 клиник в Москве
Рядом с метро
+7 (495) 324-44-47
Ежедневно с 8 до 23

Восстановление нижних зубов при патологической стираемости

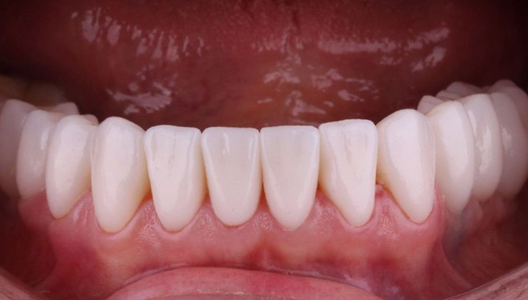
Проблема

Мужчина обратился с жалобами на укорочение зубов на нижней челюсти. Патологическая стираемость привела к изменению естественной формы зубов и потере высоты прикуса. Из-за этого нарушилось правильное смыкание челюстей, возникал дискомфорт при жевании. На 47 зубе была старая металлическая коронка, которая плохо прилегала и требовала замены.

Диагноз: патологическая стираемость.

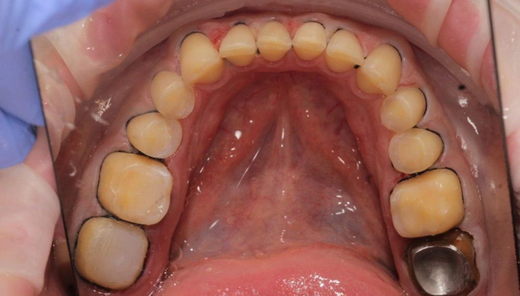
Решение

Проведено комплексное протезирование зубов нижней челюсти керамическими коронками. Все конструкции были созданы по методике Wax-up: восковое моделирование позволило заранее согласовать их форму и цвет с пациентом. Старая металлическая коронка также была заменена на керамическую, что позволило добиться одинаковой эстетики всего зубного ряда.

Оказанные услуги

Другие работы

Цены
Контакты
Смотреть все акции 17