9730+ отзывов
7 клиник в Москве
Рядом с метро
+7 (495) 324-44-47
Ежедневно с 8 до 23

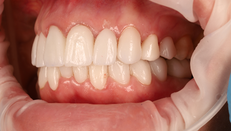
Восстановление потемневшего зуба циркониевой коронкой

Проблема

Пациентку беспокоил зуб, который поменял свой цвет после лечения каналов. Зуб имел жёлто-сероватый оттенок, что выделяло его и портило общую эстетику. На КТ-снимке патологических изменений вокруг корня не обнаружено, качество эндодонтического лечения удовлетворительное.

Диагноз: дисколорит 2.4 зуба.

Решение

Так как изменение цвета было единичным, пациентке предложена установка коронки на 2.4 зуб. Цирконий обладает высокой прочностью, поэтому это идеальный выбор для жевательных зубов. К тому же депульпированные зубы нуждаются в дополнительной защите. После щадящей обточки проведено сканирование челюстей, зафиксирована временная коронка. Через 7 дней пациентке установили готовую циркониевую коронку.

Оказанные услуги

Другие работы

Цены
Контакты
Смотреть все акции 17