9730+ отзывов
7 клиник в Москве
Рядом с метро
+7 (495) 324-44-47
Ежедневно с 8 до 23

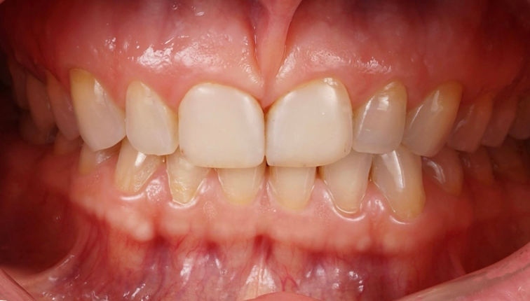
Восстановление высоты прикуса и лечение деформации зубных рядов

Проблема

Пациент обратился с жалобами на дискомфорт при жевании. Верхние зубы располагались на разной высоте, из-за чего весь зубной ряд имел кривое положение. Неправильное соотношение челюстей не только мешает комфортно пережёвывать пищу. Из-за деформации зубных дуг жевательная нагрузка распределяется неравномерно, эмаль начинает стираться, появляются проблемы с ВНЧС.

Диагноз: деформация зубных рядов, патологическая стираемость.

Решение

Для комплексной реабилитации было необходимо тотальное протезирование обеих челюстей. На передних зубах установлены керамические коронки, которые выглядят наиболее естественно. Для жевательного отдела изготовили коронки из диоксида циркония. Этот материал обладает повышенной прочностью, что позволит стабильно удерживать правильную высоту прикуса. В результате удалось устранить деформацию зубных рядов и достичь хорошего эстетического результата.

Оказанные услуги

Другие работы

Цены
Контакты
Смотреть все акции 17